Calcificação Dental

Sabe o que é Calcificação Pulpar Distrófica?
É uma resposta pulpar frente a um trauma caracterizado pela deposição de tecido duro no espaço pulpar.
Não se sabe ao certo o mecanismo exato pelo qual ocorre , permanece relativamente desconhecido, sendo evidente a existência de alterações neurovasculares e formação de dentina terciária pelos odontoblastos.
Caracteriza-se clinicamente por uma diminuição da translucidez e alteração da cor do dente devido à dentina depositada.
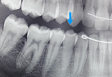
Radiograficamente visualiza-se uma obliteração parcial ou total do espaço pulpar.
O tratamento deve ser progressivo e minimamente invasivo com base em técnicas de clareamento e/ou restaurações adesivas conservadoras.
O tratamento endodôntico não deve ser primeira opção sem que ocorra sintomatologia ou patologia periradicular.




